Maine Family Dental Practice
(207) 947-1166 • www.MaineFamilyDental.com
Travis Buxton, DDS
At this time we are only offering emergency services for current patients of record.

Visit Maine Family Dental Practice –

Where time-honored family values meet the latest dental health technologies!

New Patients | Bangor ME Dentist

New Patients

Dental Services Bangor ME | Dentist 04401

Dental Services

Bangor ME Family Dental Office

Tour the Office

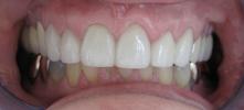
Smile Gallery

Nothing makes us happier than providing patients with incredible results. Take a look at some of our patient's before and after images to get a feel for what Dr. Travis Buxton can provide. 

What will your "after" look like? Either call (207) 947-6123 or email Maine Family Dental Practice to learn more about what services we offer and to schedule an appointment! We look forward to hearing from you. 

Getting an appointment is fast and easy!
A VERY Satisfying Experience

The Maine Family Dental Practice was recommended to me by a close friend while I was dealing with a dental emergency involving a cracked front tooth that had to be removed. The staff quickly set me up with an appointment even though I wasn't an established patient. At the time, I was completely devastated and afraid, but Dr. Buxton explained all my options and assured me that I would be happy with the end result.

I have to say that I have had a VERY satisfying experience. Dr. Buxton and his staff are friendly and professional. They have always gone above and beyond to help meet my needs, especially with scheduling appointments to fit around MY work schedule.

Maine Family Dental will surely be my family's dental provider for ALL our future needs and I have and will recommend their services to relatives and friends as well.

Tracey Roy

If you have difficulty using our website, please email us or call us at (207) 947-1166
View the ADA Accessibility Statement
Privacy Policy